
体检报告往往会提示肺结节,让人不禁疑惑,什么是肺结节?得了肺结节没能及时检查,会不会就演变成肺癌了?很多人甚至直接把肺结节和肺癌划上了等号,抑郁不安,四处求医。
中南大学湘雅医院放射科每年产生肺部的CT片、磁共振片和X光片数不胜数,作为每年平均要阅上万张肺结节片子的放射科医生,今天,好好来跟您叨叨有关于肺结节的这些事儿......
本篇有3500字,阅读时间约为15分钟,太长不想看的话,以下这些是重点哦~
1.什么是肺结节?
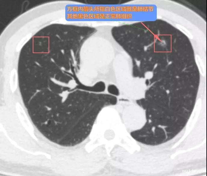
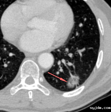
肺结节并不是疾病名称,而是一个影像学术语,就是肺内生理或病理性组织,在CT或胸片上显示类似结节的形态。
2.肺结节就是肺癌吗?
肺结节不等于肺癌,病理确诊的肺癌患者仅为筛查总人数的1%~2%,90%的肺结节是良性的。
3. 发现肺结节有什么意义?怎样才能发现肺结节?
早期肺癌常表现为肺结节,LDCT是有效的肺结节检查工具。
4. CT报告肺结节“长大了”、“增多了”,要不要紧?
需要尽量控制测量误差,才能确定病灶是否真的增大或增多,才能做出较为准确的诊断。
5. 怎样才能知道肺结节是不是肺癌?
找到负责任的专业团队为您解读结果,是获知肺结节是不是肺癌最快捷有效的办法。
6. 肺结节如何科学随访?
观察病变的变化规律,明晰病灶的自然进程,为每一个患者制定个性化的随访方案。
7. 筛查发现的肺结节可能是肺癌,要不要紧?
即使筛查发现肺结节可能是肺癌,只要科学管理,也无需过度紧张。
8 筛查发现的早期肺癌怎样处理?
早期肺癌的处理方法有手术、射频消融术、立体定向放疗、科学随访等方法。
9. 有辐射的LDCT该不该做?
一次肺部LDCT的检查剂量对人身体几乎无损伤,LDCT是目前检出早期肺癌最好的方法。
10. 有肺结节的人群怎样才能获得规范化诊疗。
肺有千千结,帮您解心结,其实您不用去远方,找湘雅团队,就对了。
肺结节并不是疾病名称,而是一个影像学术语。结节就是局限性圆形、椭圆形或不规则形的东西,肺结节顾名思义,就是正常的肺组织内多出了一些较小的、局限的、椭圆形或不规则形的生理或病理性组织,在CT或胸片上显示类似结节的形态。
肺结节不等于肺癌,检出肺结节无需恐慌。有研究指出,我国正常人群体检肺结节检出率为20%~40%,湘雅医院熊曾教授团队在湖南省实施的早期肺癌筛查项目数据显示,人工智能(AI)辅助薄层低剂量螺旋CT(LDCT)使肺结节检出率明显提高,30~70岁体检人群肺结节检出率超过70%,但经过规范化培训的医生不会盲从AI的结果,而会给出恰当的结论,最大限度减少了过度诊断与体检人群的恐慌。事实上,最后病理确诊的肺癌患者仅为筛查总人数的1%~2%,90%的肺结节是良性的。
早期肺癌常表现为肺结节,LDCT是目前公认的肺癌筛查的金标准,它能降低20%的肺癌死亡率,也是有效的肺结节检出工具。
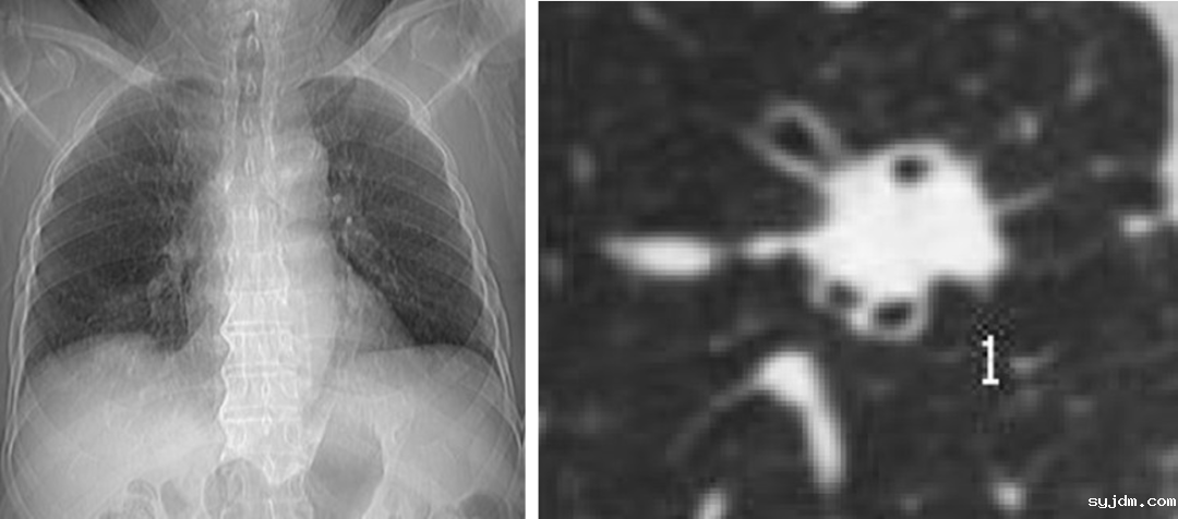
胸片(左图)看不见肺结节,CT(右图)清晰地显示肺结节,最后证实该结节为肺癌
胸片仅能发现直径大于13mm的肺结节,用胸片来发现早期肺癌,哪怕阅片经验丰富,水平很高的医生也难免漏诊肺内较小的病灶,往往中晚期肺癌被检出,而早期肺癌却漏掉了,“年年体检都正常,一发现肺癌就是晚期”的悲剧常有发生。由较有经验的医生来判读CT图像,如果还辅以AI,可以检出全部肺结节。
Q4 CT报告肺结节“长大了”、“增多了”,要不要紧?
CT报告肺结节“长大了”“增多了”,肯定要重视,却不一定是患了肺癌。在实际工作中,最常见的情况是在A机构发现了肺结节,再到B机构复查,两个机构的CT报告结果不一致,报告显示结节的大小、数目发生变化,引起有结节的人群恐慌。CT报告肺结节在短期内“长大”、“增多”,最常见的原因是测量误差。只有在同一机型,同一扫描条件下,必要时可选择AI测量代替人工测量,尽量控制测量误差,对病灶进行观察,才能确定病灶是否真的增大或增多,才能做出较为准确的诊断,诊断精准了,患者才能从后续的治疗与处理中获益。
在湘雅医院熊曾教授带领的团队中,经过规范化培训的医生会在分析报告中考虑测量误差对结果的影响,尽可能地找出那些有变化的病灶,并且精准诊断。
从理论上来说,只有拿到明确的组织学诊断才能确诊肺癌,也就是说需要通过手术、穿刺等有创检查才能明确诊断。随着医师对肺结节认识的提高,CT、PETCT等无创检查手段的诊断正确率也非常高了。比较典型的早期肺癌,CT也能确诊。
湘雅医院熊曾教授带领的团队,从事LDCT肺癌筛查相关工作近20年,具有丰富的肺癌诊断经验及较高的肺结节管理水平,与病理结果对照,多次盲法测评,判断肺结节的准确性超过了95%,在包含检出率、敏感性、特异性等6大维度指标测定中全国领先。因此,肺结节性质的判读不能自学,也不能一味百度,更不能病急乱投医,找到负责任的专业团队为您解读结果,是获知肺结节是不是肺癌最快捷有效的办法。
医生阅读CT图像后,将肺内有阳性意义的结节(通常肺窗结节长径超过了5mm)分成良性结节、恶性结节与未定性结节。未定性结节通常需要复查,科学随访尤为重要,复查的时间并不是机械性地定为3个月、6个月、一年等间隔,而是要测量病变的倍增时间(即病变体积增加一倍的时间)来评价病变变化的速度,根据病变直径或体积随时间的变化绘制病变的生长曲线等方法,观察病变的变化规律,明晰病灶的自然进程,尽量保证患者在随访期的安全,同时关注患者的心理状态,为每一个患者制定个性化的随访方案。
如果是恶性结节,要选择最恰当的时间进行手术,如果是良性或炎性结节,要避免让患者“白挨一刀”。
让人担心不已的磨玻璃结节不见了
每一个复查节点都要再次评估病变的性质及患者的心理状态,做患者真正的朋友,帮助他们度过难关,一定要避免“只看到病,不看见人”,患者的信心是医生给的,这些一起走过的岁月将成为医患双方最温暖的回忆。
研究显示筛查发现的肺癌80%为早期肺癌,绝大部分情况下,手术效果是非常好的,能接近治愈,不需要化疗、放疗及靶向治疗,甚至有一部分肺癌,因为生长十分缓慢,在科学的随访下,可以不需要做任何治疗,也可以观察8~10年没有什么变化。所以即使筛查发现肺结节可能是肺癌,只要科学管理,也无需过度紧张。
手术依然是目前处理早期肺癌最有效的方法,术前有条件需要完善肺结节3D可视化检查,以争取切除更少的肺组织,保留更好的肺功能,需要强调肺康复理念,争取获得最佳的手术效果。
对于难进行手术处理的病例、多原发癌、高龄或机体情况不能做手术等情况,也可以使用射频消融术、立体定向放疗等方法来处理肺结节,设计得当,在合适的患者身上,这些方法也可以达到与手术相当的效果。部分患者可以在严密监管的基础上科学随访,再选择在适当时期选择适当的方式进行处理。只有精准的诊疗,精心的处理,医生真心地关心和尊重患者,设身处地为患者着想,才会有高超的技艺,才能为患者做出最合适的选择,才会使患者获得最好的效果!
我们建议应该做,指南推荐肺癌高危人群每年做一次肺部LDCT。LDCT是目前检出早期肺癌最好的方法,能检出直径小于1cm的微小肺癌,检出的肺癌中80%为早期肺癌,早期肺癌患者术后十年生存率接近100%,术后不需要放化疗、靶向治疗等高额的治疗手段。
一次肺部LDCT的检查剂量仅为一年接受的天然本底剂量的1/3,对人身体几乎无损伤。很多人害怕X线的辐射,千方百计避免使用CT来筛查早期肺癌,不主动去检查,早期肺癌拖到晚期,丧失治疗机会,甚至失去宝贵的生命,才更是一场灾难。充分认识肺部LDCT的作用,不需要“谈放射线色变”。
肺有千千结,帮您解心结,其实您不用去远方。肺结节的规范化诊疗尤为重要,选择专业团队精准诊断\系统评估\科学管理\实施个性化诊疗方案是十分必要的。
在湖南省医学会放射学专业委员会心胸学组及胸外科专业委员会的指导下,以湘雅专家为核心的团队稳步推进肺结节筛查及管理项目,以肺癌的早筛早诊早治标准化操作流程、同质化质量控制为导向,力争基于互联网在全国建立以基层医院为筛点、以地市级医院为区域中心、以湘雅力量为核心的早期肺癌筛查网,为早期肺癌防治探索分级诊疗新模式,贡献湘雅创新驱动力。
在过去的一年里,湘雅医院远程会诊平台完成了2万余例的远程会诊,差错率小于千分之一,与基层医院合作的“肺结节联合门诊”术前影像病理符合率100%,为省内外培养了几十位肺结节筛查及管理专家,专家团队分布在湖南省各地,湘雅医院健康管理中心已有多年肺结节筛查与管理经验,无需东奔西走,好团队就在您身边。
