骨关节炎作为中老年人中最常见的退行性关节疾病,有多种不同的症状和表现。有的人走平路时没有任何问题,但就是上下楼梯或者下蹲站起时膝关节特别疼。如果出现了这样的症状,我们就得注意是否患上了“髌股关节炎”。
首先我们来看膝关节的结构组成。膝关节由三个不同的间室构成,分别为内侧胫股关节、外侧胫股关节和髌股关节(如下图),骨关节炎可单独或同时发生于这些关节间室。当其中的髌股关节因异常病理因素(如髌骨轨迹异常、创伤等)引起髌骨和/或股骨滑车表面软骨发生退变损伤,产生骨关节炎表现时,我们即称之为“髌股关节炎”。临床上,当医生给出“髌股关节炎”的诊断时,通常指“单纯性的髌股关节炎”,即骨关节炎的病变主要累及髌股关节间室,而内外侧胫股关节间室没有明显退变。

膝关节的三个间室

髌骨对位异常时产生髌股关节炎
髌股关节炎,典型症状为膝关节前方的疼痛与僵硬,在爬山、上下楼梯或下蹲站起时症状尤为明显,而在平路步行时关节没有明显不适。不过大家听了后,也不必急着对号入座,单就膝前痛而言,可能的原因有很多。疼痛有时也不一定来自髌股关节本身,关节周围的结构,如韧带、滑膜、肌肉等受损病变时也可能产生类似症状。因此,确诊疾病还需找医生进行专业评估。

髌股关节炎的治疗与一般的骨关节炎治疗原则相同,通常首选非手术治疗。具体包括调整活动习惯,例如避免爬楼梯和爬山,限制下蹲活动,以及减少冲撞性运动等。对于体重过大的患者,减肥可以帮助减轻施加在关节上的压力。物理疗法包括拉伸和增强周围的肌肉力量,如通过直腿抬高锻炼股四头肌肌力。另外,可以在髌骨周围使用肌内效贴纠正髌骨位置,减轻髌骨的压力与磨损(如下图)。药物方面,可以使用对乙酰氨基酚或非甾体类抗炎药(NSAID)等药物缓解疼痛。对于轻度至中度关节炎的患者,还可通过注射关节腔注射粘弹性补充剂,如玻璃酸钠来帮助润滑关节,缓解症状。

肌内效贴示意图
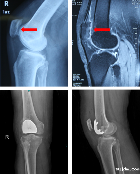
对于病变严重且保守治疗无效的髌股关节炎患者,需考虑进行手术治疗。比如软组织对位重排手术、截骨术,或髌股关节置换术。目前,髌股关节置换术是治疗髌股关节炎的终极手段,但其相对传统的全膝关节置换来说,由于仅对髌股关节病变局部进行了表面置换,因此创伤更小,手术过程中保留了健康的胫股关节、半月板以及韧带等结构,术后也可更快地恢复关节运动功能,让患者更好地受益。
湘雅医院骨科关节外科是国内最早开展髌股关节置换手术的中心之一,举办了国内首个人工髌股关节置换专项培训班,已经常规开展髌股关节置换手术,为重度髌股关节炎患者带来福音。


髌股关节置换术前(上图)及术后影像(下图)
